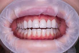
Ceramic Crowns and Caps

Ceramic crowns and caps are aesthetic dental restorations that mimic the natural appearance of teeth. They are ideal for restoring damaged, decayed, or discolored teeth while maintaining a natural and beautiful smile.

  • Natural-looking and highly aesthetic results
  • Stain-resistant and metal-free
  • Customized for a perfect fit and comfort
  • Durable and suitable for front teeth

Frequently Asked Questions

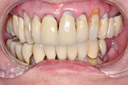
Ceramic crowns are recommended for restoring broken, decayed, or discolored teeth, especially in the front region where appearance is important.

Yes, modern ceramic materials are strong and durable. While ideal for front teeth, they can also be used in back teeth depending on the case.

With proper care and hygiene, ceramic crowns can last 10–15 years or more. Regular dental checkups help maintain them in excellent condition.

WhatsApp